
풍부한 임상경험을 갖춘 전문 의료진이
보다 섬세한 증상별 관절 치료를 제공합니다.
첨단 장비를 이용한 관절 정밀검사 시행
풍부한 임상경력의 관절 전문의
환자 맞춤 진료를 통해 관절 진료 컨설팅
부위별 작은 상처 수술
줄기세포를 통한 관절치료
인공관절수술 (무릎, 어깨, 고관절)

정형외과
서재웅원장
정형외과 전문의
조선대학교 의학전문대학원 졸업
광주보훈병원 전공의 수료
서울대학교 병원 파견 전공의
빛고을 및 화순 전남대학교 병원 관절센터 전임의
학동 전남대학교 병원 척추센터 전임의
전 한사랑병원 정형외과 원장
현 빛가람종합병원 원장
대한정형외과학회 정회원
대한슬관절학회 정회원
대한척추외과학회 정회원
대한골연장변형교정학회 회원
Oxford, UK, 8th FFN (The Fragility Fracture Network) : Global Congress Hip Arthroplasty for Failed Internal Fixation of Intertrochanteric Fractures 포스터 발표

원장

정형외과
김재현원장
정형외과 전문의
조선대학교 의과대학 졸업
가톨릭관동대학교 의과대학 의과대학원 해부학 박사
강릉아산병원 정형외과 전공의 수료
목포미래병원 정형외과 원장
홍천아산병원 정형외과 원장
서울아산병원 정형외과 척추파트 임상강사
부산세웅병원 정형외과 과장
새부산병원 정형외과 과장
광주센트럴병원 정형외과 원장
현 빛가람종합병원 원장
대한초음파학회 정회원
대한척추외과학회 정회원
대한관절경학회 정회원
대한도수치료학회 정회원
AO Spine Advance Course 수료
재생주사치료
세포 분화를 촉진하여 조직의 재생 및 강화를 유도하는 약제를 손상된 부위에 주사하는 치료법입니다.
Polydeoxyribonucleotide(PDRN)이라는 물질을 손상 부분에 주입하여 약화된 근육이나 인대 조직을 강화시켜주고 통증을 줄여주고, 빠르게 상처를 치료할 뿐만 아니라 원래의 피부조직으로 재생시켜주는 치료방법입니다.
이는 기존 PRP(자가혈청인대강화)보다 퇴행성관절염이나 힘줄이나 인대 파열, 탈모, 여드름, 흉터 등의 치료에 효과를 보이며 쉽고 간편할 뿐만 아니라 통증과 감염 등의 부작용이 없어 빠른 치료가 가능합니다.
손상된 조직을 회복
조직의 재생을 촉진
부작용이 없고 근본적인 치료가 가능
어깨 관절 통증
허리통증
무릎 관절염 및 인대 손상
발꿈치 통증
족저근막염 등 근골격 질환
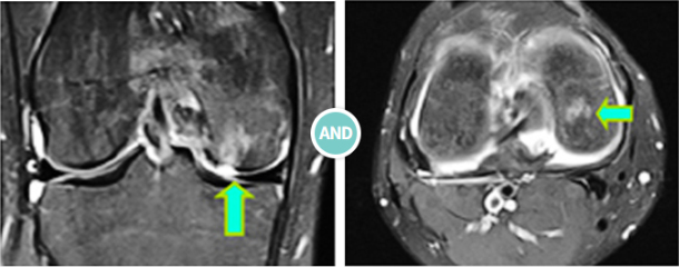
인공관절
퇴행성관절염이나 심한 외상 등으로 닳아버린 연골을 인공관절로 대체하여 관절의 기능을 정상적으로 회복시키는 수술입니다.
손상 범위에 따라 부분치환술과 전체치환술로 구분됩니다. 고관절에 괴사가 일어나는 대퇴골두 무혈성 괴사의 경우 고관절을 인공관절로 대체하는 수술을 시행합니다.
내비게이션을 이용한 인공관절수술로 빠르고 정확한 최첨단 인공관절치환술 시행
적은 출혈로 수혈 최소화
최소 절개 및 힘줄, 근육의 손상을 최소화 하는 기법으로 인공관절치환술 후 조기에 생활로 복귀가 가능
정확한 시술로 인공관절의 마모를 줄여 인공관절의 수명연장이 가능
퇴행성 관절염
걷거나 계단을 오르기 힘든 경우
다리가 O자로 심하게 변형된 환자
양쪽 연골이 모두 닳아버린 경우
관절 통증이 극심하여 일상생활이 어려운 경우
류마티스 질환, 대퇴골두 무혈성 괴사 환자
골절, 회전근개 파열, 류마티스 관절염 및 무혈성 괴사 등으로 인하여 어깨관절 연골의 마모 및 손상 등
어깨 관절이 제 기능을 하지 못할 때 관절의 역할을 대신해 줄 수 있는 인공관절로 대체하는 수술입니다.
이런 분들께 추천드립니다
퇴행성 변화가 현저히 진행되고 통증의 정도가 심할 때
회전근개 파열이 매우 심한 환자에게 관절염이 동반되어 있을 때
보존적 치료에 반응하지 않는 관절염 환자
회전근개 파열 수술 후 재파열되어 다시 수복을 하기 어려운 경우
어깨 인공관절 수술 과정
어깨 인공관절 수술 후
환자 상태에 따라 차이가 있으나
재활 치료 및 운동 치료를 시작합니다.
보조기를
제거하실 수 있습니다.
가벼운 일상생활이
가능합니다.
보통의 일상생활이
가능합니다.
무릎관절은 세 개의 관절 면으로 구성되어 있는데 각종 질환, 외상 등으로 제 기능을 수행하지 못할 때,
관절면을 절제, 제거하고 생체조직의 거부반응이 적고 관절면의 기능을 원활하게 수행할 수 있는
대체물질(인공관절)로 전환하는 치료법입니다.
인공관절 치환을 통해 통증을 감소시키고 관절의 기능을 유지시키고 변형을 고정하여 일상생활이 가능하도록 합니다.
무릎 인공관절 반치환술(UKR)
인공관절 반치환술을 ‘부분 치환술’이라고도 합니다. 본인의 관절을 최대한 보존하기 위한 방안으로 관절 손상이
부분적일 경우 시행하게 됩니다. 관절면의 손상이 고르게 진행되는 것이 아니라 내측 연골부터 손상이 시작되기 때문에
이러한 대상자들에게 국한되어 적용됩니다.
좌식문화를 가진 동양인들은 양반다리나 무릎을 접어 앉는 자세로 인해 내측 관절에 스트레스가 가중되어
이 같은 경우가 흔히 발생합니다. 대부분의 관절염 환자들은 내측 연골부터 천천히 마모가 진행되는데,
보존적 치료에도 불구하고 관절염의 진행이 계속되면 인공관절 반치환술을 통해 통증 완화 및 관절기능을 회복시킵니다.
수술 후 재활이 매우 빨라 일상생활로의 복귀에 용이합니다.
무릎 인공관절 전치환술(TKR)
인공관절 전치환술은 말 그대로 관절 전체를 인공관절로 대체하는 수술입니다.
퇴행성 관절염으로 마모가 심각한 환자의 경우, 관절의 변형으로 보행 장애와 극심한 통증에 시달리게 되어
일상생활에 지장이 생길 정도이므로 반드시 치료가 필요합니다. 이때, 관절 전체를 대체하여 관절염의 진행을 막고
통증을 완화시켜 관절이 정상적으로 가능하게 하여 일상생활이 수월하도록 돕습니다.
이런 분들께 추천드립니다
수술에 적합한 나이나 몸무게의 제한이 없습니다.
65세 이상에서 시행하는 것이 환자에게 유리합니다.
X-선 검사에서 말기 퇴행성 관절염인 경우인 환자분들에게 권장합니다.
다른 어떠한 치료법도 유효하지 않을 때는 60세 이하도 불가피하게 시행할 수 있습니다.
무릎 인공관절 치환술의 과정
무릎 인공관절 치환술 특징
수술 후 가장 좋아지는 것은 수술 전에 보행시 있던 극심한 통증이 사라지고 변형이 교정되어 일상생활로의 복귀가 가능해집니다.
수술 후 몇 주내지 몇 개월간 관절 주위에 약간의 동통이 있을 수 있는데 이러한 통증은 수술 과정과 수술 전 관절 주위의 근육을 잘 사용하지 않아 근육이 힘이 약해져 있을 경우 발생할 수 있으며 대부분 회복이 됩니다.
수술 후 3일째부터 보행기나 양축 목발을 이용하여 보행이 가능하고, 수술 후 3개월에는 지팡이 없이 대부분 정상 보행을 할 수 있습니다.
대부분의 경우에 관절의 통증과 뻣뻣함이 감소되고 대부분의 일상생활이 가능해집니다.
수술 후 완전히 회복이 되었다고 하더라도 간단한 보조기를 사용할 수 있습니다.
수술 부위에 심한 무리가 가는 일과 격한 운동은 삼가해야 합니다.
인공관절 수술은 과거에 정상이었을 때의 관절만큼은 아니지만, 통증을 없애고 환자가 독립적으로 일상생활을 다시 시작할 수 있게 해줍니다.
수술 후 주의사항
수술 후, 수술 부위에 열감이나 붓기, 감염, 합병증, 방사통 등이 동반될 수 있으니, 지속적으로 관리가 필요합니다.
환자의 건강 상태와 특성에 따라 회복에 개인 차가 있습니다.
수술 후 주의 및 금기사항을 꼭! 숙지시켜야 부작용을 예방할 수 있습니다.
통증이 없다 하더라도 무리한 동작은 삼가주시고, 계단을 오르고 내리는 것은 되도록 삼가주시기 바랍니다.
관절내시경
관절 내시경 수술이란 특수렌즈와 비디오카메라 장착된 직경 2-5mm의 관절경(ARTHROSCOPE)을 5mm 미만의 피부 절개를 통해 관절 안에 삽입하여 관절 내부를 직접 보면서 관절 내 병변을 진단하고 동시에 이물질과 손상된 연골을 정리 및 봉합해 주는 치료법입니다.
내시경으로 직접 보면서 수술하기 때문에 정확하고 안전
진단과 치료가 동시에 이루어지며 최소 절개로 빠른 일상복귀가 가능함
회전근개 손상 및 오십견
석회화건염
퇴행성 관절염
십자인대손상
신체 세부관절 손상
관절경 수술은 5mm 정도의 작은 절개부위로 내시경과레이저 수술기구를 삽입하여
관절 질환을 실시간으로 진단하고 치료하는 수술법입니다.
어깨에서부터 무릎, 발목까지 다양한 부위에 관절경을 이용한 치료가 적용되고 있습니다.
이런 분들께 추천드립니다
무릎의 반월상 연골이 찢어지거나, 파열된 경우
어깨충돌 증후군 등으로 인해 덮개뼈를 치료해야 하는 경우
어깨, 무릎, 발목 등의 인대, 연골 등의 손상과 파열이 의심되는 경우
활액막에 질환이 의심될 경우
관절염의 급성/만성 질환으로 관절의 장애가 있는 경우
감염이나 퇴행성 질환에 의해 이물질을 제거해야 하는 경우
석회화건염이 심각하여 이물질 제거 및 치료가 필요한 경우
발목의 불안정성이 의심되는 경우
줄기세포(카티스템)
줄기세포 치료 중 하나로 동종 줄기세포인 '제대혈 줄기세포'를 주입해 연골을 재생시켜 관절을 되살리는 치료법입니다.
카티스템 치료는 관절 내시경을 이용해 연골까지 도달한 후 손상된 연골을 다듬고 연골에 2~3mm정도의 구멍을 냅니다. 그렇게 미세천공을 시행한 구멍에 동종 제대혈 줄기세포인 카티스템을 도포하는 치료방법으로 수술시간은 30분 내외로 짧으며, 시술 후 2~3일 후에 퇴원할 수 있어 빠르게 일상생활이 가능하다는 장점이 있습니다.
1회 수술로도 효과를 볼 수 있다.
연령 및 연골 손상 크기에 영향이 없다.
빠른 일상생활이 가능
3단계의 임상시험을 거쳐 안정성과 유효성을 승인받은 안전한 치료
퇴행성 관절염
연골 손상 치료 후 지속적으로 통증이 있는 경우
인공관절 수술을 권유받았으나 거부감이 있는 경우
줄기세포 연골재생술 과정
줄기세포 연골재생술 장점
자신의 혈액, 골수를 주입하므로 거부반응이 낮아 안전성이 높습니다.
빠른 조직재생, 통증완화 효과
줄기세포를 배양하지 않아 감염, 유전자 변이의 위험성이 거의 없는 안전성
시술시간이 짧고 간단하여 입원기간이 단축되며 빠른 일상생활 복귀가 가능합니다.