
말초 혈관인 팔 혈관에서 시작해서 심장 가까이의 굵은 혈관인 중심 정맥으로 삽입되는 관 또는 카테터를 말합니다.
장기 입원 환자의 경우, PICC는 한 번 삽입 후 적절한 관리로 장기간 유지가 가능하며, 반복적인 정맥주사 삽입으로 겪는 통증과 불편함을 덜어줄 수 있습니다. 특히, 말초 혈관으로 투여할 경우, 혈관 밖으로 새어나가 조직에 염증 및 손상을 일으킬 수 있는 약물을 안정적으로 투여할 수 있습니다.

장기간의 수액 요법이 필요한 경우에 사용되며, 다음의 경우에 삽입이 권장됩니다.
일반적으로 팔꿈치와 어깨 사이에 있는 요측피정맥(Cephalic Vein), 척측피정맥(Basilic Vein), 또는 상완정맥(Brachisl Vein)을 이용하며, 주로 척측피정맥(팔에 있는 굵은 혈관)을 사용합니다.
우측 전완의 척측피정맥을 통해서 중심정맥도관이 삽입된 모습
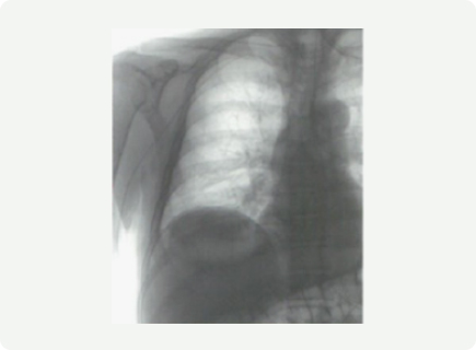
PICC 삽입 후 가슴 X-ray 촬영을 통해 정확하게 위치하는지를 확인
정맥 주입 전 매번 혈액을 흡인하고 플러싱하여 카테터의 개방성을 확인합니다.
멸균 투명 드레싱
5~7일 마다
멸균 거즈 드레싱
2일 마다
멸균 투명 드레싱 + 거즈 드레싱
2일 마다
멸균 투명 드레싱과 같이 7일 마다 교체합니다.
다음과 같은 경우 카테터 개방성 유지를 위해 플러싱을 시행합니다.
절차
질병의 종류와 치료 방법에 따라 적절한 중심정맥관을 삽입하여 효율적으로 사용할 수 있도록 안전한 시술을 시행합니다.
PICC클리닉 시술상담 및 문의
061-820-0816061-820-0816