
뇌 건강을 위협하는 주요 질환인 뇌졸중을
예방, 진단, 치료하기 위해 설립된 전문 클리닉 입니다.
최신 의료 장비와 경험 많은 전문 의료진이 협력하여 환자 맞춤형 치료를 제공하고 있습니다.
뇌경색, 뇌출혈 등 급성 뇌졸중의 조기 진단 및 응급치료와
기타 뇌질환(기억장애, 경도 인지장애, 파킨슨병 치매 등)과 같은 뇌 건강과 관련된 다양한 질환을 관리합니다.

신경과
박상은원장
신경과 전문의
조선대학교 의과대학 졸업
중앙대학교 의과대학원 졸업
성애병원 인턴의
중앙보훈병원 전공의
고흥종합병원
부안성모병원 원장
광주일곡병원 원장
현 빛가람종합병원 원장
대한신경과학회 정회원
대한신경과의사회, 대한임상신경생리학회, 대한두통학회, 대한수면연구학회, 대한뇌졸중학회, 대한치매학회, 대한뇌전증학회, 대한파킨슨병 및 이상운동질환학회 정회원
임상신경생리(신경근전도 및 유발전위) 인증의
전라북도광역치매센터 치매전문강사
광주광역시광역치매센터 치매전문강사
뇌경색
1) 뇌혈전증동맥경화증이 생겨 손상된 뇌혈관에 피떡(혈전;血栓)이 생기면서 혈관이 좁아져서 막히는 경우입니다. 수도관에 녹이 스는 경우를 생각하시면 됩니다.
2) 뇌색전증심장 또는 목의 큰 동맥에서 생긴 피떡이 떨어져나가 혈류를 타고 흘러가서 멀리 떨어져 있는 뇌혈관을 막아 생기는 뇌경색 입니다.
3) 열공성 뇌경색뇌의 아주 작은 혈관이 막히는 경우입니다.
뇌출혈
1) 뇌내출혈갑자기 뇌혈관이 터지면서 뇌 안에 피가 고이는 병입니다.
2) 거미막밑출혈동맥류가 터지면서 뇌를 싸고 있는 거미막 밑에 피가 고이는 병입니다. 심한 두통과 구토가 특징이며 대개 반신마비가 없습니다.
일과성 뇌허혈발작
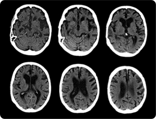
뇌 MRI (뇌 자기공명영상)
다양한 각도에서 뇌조직 확인
두개골 내부의 해부학적 구조를 세부하게 볼 수 있는 검사
뇌경색, 뇌종양, 치매 등의 뇌형태 이상을 초래하는 이상 소견을 확인
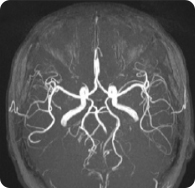
뇌 MRA (뇌 자기공명혈관조영술)
뇌 내의 뇌 혈관만 영상으로 확인
MRI 장비 이용하여 두경부 혈관 검사를 하는 방법
뇌혈관의 세밀한 형태나 뇌혈관 내 혈류의 흐름검사, 기타 부위 정밀 혈관 및 혈류 검사
뇌혈관 CT 촬영
뇌혈관 CT는 뇌혈관 질환이 의심되는 환자의 경색과 출혈을 감별하고 뇌종양, 뇌동맥류 등의 뇌질환의 진단, 뇌 수술 후 경과 관찰 등을 위해 시행하는 검사입니다.
빠른 검사 속도를 갖는 다중 채널 고속도 CT를 이용하여, 조영제 주사 후 뇌혈관의 구조와 변화를 살펴보기 위한 검사로 동맥류 같은 혈관이상의 진단을 가능케하며 혈관의 개통성 유무 및 협착 정도를 입체적으로 평가할 수 있습니다. 검사 전 최소 4시간 이상의 금식이 필요하며, 미리 확보한 주삿바늘로 조영제를 주입하며 CT촬영을 하게 됩니다.
뇌혈관 CT 검사대상
평소보다 두통이 잦을 때
어지러움이 느껴질 때
고혈압, 당뇨, 고지혈증 등의 만성질환자
혈관질환이 있으신 분
갑자기 팔다리에 마비가 오거나 구토, 의식장애 등이 발생한 경우
50세 이상의 정기적인 뇌(머리) 검사
뇌혈관 CT 촬영으로 알 수 있는 질환들
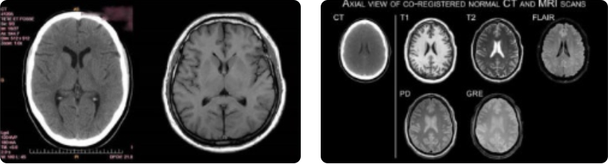
CT와 MRI
방사선을 이용하는 CT와 자기장을 이용하는 MRI는 원리가 다르므로 각각 볼 수 있는 질환에 차이가 있어 외상이나 뇌출혈이 의심될 때에는 CT를 통해 빠른 진단을 하고 어지럼증, 두통, 치매, 뇌경색 등 뇌혈관질환이 의심되는 경우 고해상도 MRI 검사를 진행하는 것이 좋습니다.
방사선을 이용하는 CT와 자기장을 이용하는 MRI는 원리가 다르므로 각각 볼 수 있는 질환에 차이가 있습니다.
CT는 방사선을 이용하여 촬영하기 때문에 비교적 단시간에 촬영이 가능하여 골절이나 외의 출혈 여부를 잘 확인할 수 있다는 장점이 있습니다. 그러나 CT는 뇌의 백질변성, 소혈관질환, 작은 크기의 병변은 확인이 어렵고 MRI보다 해상도가 낮아 CT에서는 발견이 되지 않았는데 MRI에서는 발견되는 병변들이 있습니다.
따라서 외상이나 뇌출혈이 의심될 때는 CT를 통해 빠른 진단을 하고 어지럼증, 두통, 치매, 뇌경색 등 뇌혈관 질환이 의심되는 경우에는 고해상도 MRI 검사를 진행하는 것이 좋습니다.
최첨단 MRI ‘인제니아 3.0T'
MRI 인제니아 3.0T는 방사선을 이용하지 않고 인체 내 수소원자에 신호를 가해 영상화하는 시스템으로, 인체에 해로움 없이 종양 및 질병의 효과적인 진단이 가능하다. 또 영상의 정확도를 결정하는 신호대비 잡음비(Signal to Noise Ratio)를 최대 40%까지 향상시켜 고해상도 영상을 얻어낼 수 있는 장점이 있다. 신경 및 근골격계 등 기존에 MRI가 많이 쓰이던 분야 외에도, MRI 활용도가 빠르게 높아지고 있는 복부와 심장, 간담도계, 비뇨생식계 등 보다 광범위하고 미세한 부위까지 선명한 진단 영상을 제공할 수 있다.
더욱 편안하고 정확한 진료를 위한3.0T MRI
신속하고 쾌적한 검사
선명한 디지털 영상
신체부위에 따른 맞춤 검사
소음감소
빠르고 정확한 PREMIUM DIGITAL MRI
아날로그 MRI보다 영상신호가 높아 빠르고 정확한 영상을 제공합니다.
강력하고 빠른 경사자장 시스템이 적용되어 뇌, 뇌혈관, 미세구조물 영상 촬영에 특화되어 정확도 높은 영상을 제공합니다.
환자 친화적인 검사환경
환자에게 들리는 소음을 최소화하여 조용하고 쾌적한 검사를 제공합니다.
검사 시간 및 테이블 이동을 자동으로 알려 검사에 대한 불안감이 감소됩니다.
최신 고속화 기술을 적용하여 기존보다 빠른검사가 가능합니다.
뇌 질환, 척추 질환, 근골격계 질환에 대한 검사가 가능합니다.
Philips Brilliance 64채널 CT
네덜란드 Philips사의 Brilliance 64채널 CT는 현재 임상적으로 사용되고 있는 첨단 의료장비로, 초당 최대 160개의 영상을 얻을 수 있어 기존의 T보다 빠른 검사속도로 환자의 방사선 피폭량은 크게 줄였으며, 검사도중 환자의 호흡이나 움직임으로 인한 흔들림을 최소화 하여 이전보다 훨씬 뛰어난 고화질의 영상을 얻을 수 있습니다.
뇌졸중에 걸렸는지 어떻게 알 수 있습니까?
뇌는 좌우측, 또한 각 부분마다 기능이 다르기 때문에 뇌의 어떤 부위에 손상이 왔느냐에 따라 증상이 다양합니다.
뇌졸중은 갑자기 뇌혈관이 막히거나 갑자기 뇌혈관이 터져서 생기는 병이기 때문에 증상이 갑자기 나타나는 것이 특징입니다. 며칠 또는 몇 주 간에 걸쳐서 서서히 증상이 악화된다면 뇌졸중이 아닐 가능성이 높습니다.
또한 팔다리에 마비가 오거나 피부감각이 둔해질 경우 오른쪽 팔다리에 동시에 증상이 오거나 왼쪽 팔다리에 동시에 증상이 옵니다. 양쪽 필다리에만 마비가 오거나 양쪽 팔에만 마비가 오는 경우는 뇌졸중에 의한 증상이 아닌 가능성이 큽니다.
흔한 증상
고혈압
당뇨병
심장병
고지혈증
흡연
음주
비만
식사와 영양
1. 소금섭취를 줄인다우리나라 사람들은 하루 평균 15-20그람의 소금을 섭취합니다. 이는 서양 사람들의 2-3배에 해당하는 양이므로, 고혈압과 뇌졸중 예방을 위해 염분섭취를 줄이도록 해야겠습니다.
2. 콜레스테롤 섭취를 제한한다.만약 당신이 피 속에 지방질이 너무 많은 고지혈증 환자라면 지방섭취를 줄이도록 해야겠습니다. 콜레스테롤이 많이 함유된 달걀 노른자, 오징어, 간, 마요네즈, 명란젓, 성게 등을 줄이고 고기는 살코기 위주로 먹고, 눈에 보이는 기름기는 제거합니다.
3. 당뇨병 환자의 식이요법기름기가 없는 육류나 생선과 채소찬은 매끼 적정량을 갖추어 먹도록 하여 균형있는 식단이 될 수 있도록 해야 합니다. 당뇨식사는 특정 식품을 제한하거나 특정식품을 먹어야하는 것이 아닙니다. 적절한 열량을 다양한 식품을 통해 섭취하는 건강식입니다.
생활습관
1. 운동규칙적인 운동은 혈압을 낮추고 비만을 예방할 뿐만 아니라 스트레스를 낮추어 줍니다. 또한 활발한 신체 활동을 통해 뇌졸중도 예방되므로 뇌졸중 예방과 건강을 위해서 규칙적인 운동습관을 몸에 익히도록 해야겠습니다.
2. 금연금연의 방법에는 본인의 의지로 담배를 끊는 방법, 의사와의 상담, 금연 클리닉이나 금연단체를 이용하는 방법, 니코틴 껌이나 니코틴 패치 등을 사용하는 약물치료 등이 있습니다.
3. 절주건강한 젊은 사람을 기준으로 술의 종류에 상관없이 잔으로 하루에 1, 2잔을 마시는 것을 적절하다고 하며, 신체가 작은 여성은 하루에 1잔으로 제한합니다. 술을 마실 경우에는 천천히, 그리고 요령껏 마시며 안색이 변하거나 가슴이 울렁거리거나 숨이 가쁘면 심장에 무리가 된다는 징조이니 그만 두는 것이 좋습니다.
약물요법
1. 항혈소판제제항혈소판제제는 혈관 속의 피떡 형성에 중요한 역할을 하는 혈소판의 기능을 억제함으로써 뇌경색의 재발을 막는 약물입니다. 어떤 항혈소판제제를 복용할 지는 담당 의사가 환자의 상태를 고려하여 결정하게 되는데, 경우에 따라서는 두가지 이상의 항혈소판제제를 함께 투여하는 경우도 있습니다. 이러한 항혈소판제제는 불규칙적으로 복용할 경우에는 그 효과를 기대할 수 없으며 의사의 지시에 따라 꾸준히 복용하여야만 재발 방지 효과를 극대화 할 수 있습니다.
2. 항응고제뇌경색의 발병을 막기 위해서는 피떡의 생성을 억제하는 것이 중요하며 혈전 형성의 첫 단계가 혈소판이 모여 뭉치는 것입니다. 피떡 형성의 두번째 단계는 피브린이라는 물질이 작용하여 모인 혈소판을 단단하게 뭉치는 것입니다. 피브린이 만들어지기 위해서는 혈액 속에 있는 10여 가지의 응고 단백질들의 작용이 필요한데 그 중 가장 중요한 것이 트롬빈이며 이 트롬빈의 작용을 억제하는 약제가 항응고제입니다.
수술
1. 뇌혈관성형술이 수술의 장점은 뇌를 직접 열지 않고도 치료할 수 있다는 것입니다. 접혀 있는 소형 풍선과 그물망이 달려 있는 철사 굵기 정도의 선을 막힌 혈관까지 집어 넣은 뒤, 풍선을 부풀려 혈관을 넓히고 다시 좁혀지지 않도록 그물망을 설치하는 것입니다.
2. 목동맥내막절제술목동맥내막절제술이란 목동맥 안에서 해로운 지방 찌꺼기를 제거하는 것입니다. 목동맥은 목을 지나가는 혈관으로서 뇌에 영양분과 산소를 공급하는 피를 공급해 줍니다. 만약 지방 찌꺼기가 목동맥 내부를 막고 있다면 뇌로 가는 혈류를 감소시켜서 뇌경색을 일으킬 수 있습니다.
1. 의식 상태와 사고하는 능력환자가 깨어 있는지 아니면 계속 졸려하거나 의식이 없는지를 입원 초기에 평가합니다. 만약 환자가 깨어 있다면 사고하는 능력이나 기억력, 집중력 등에 대해서 평가합니다.
2. 음식물 삼키기뇌졸중에 걸리면 많은 환자가 음식물을 삼키는데 지장을 받습니다. 이를 삼킴곤란 또는 연하곤란이라고 부릅니다. 음식물을 잘 삼키는지 대해서도 입원 초기에 평가하게 됩니다. 이를테면 의료진이 환자에게 소량의 물을 삼켜보라고 요구할 수 있습니다. 만약 환자가 물을 삼키는데 장애가 있다면 의료진이 안전하게 음식물을 삼키는 방법에 대해 조언을 줄 것이며 섭취하는 음식물의 종류를 제한할 것입니다. 입으로 충분한 음식물을 섭취하는 것이 불가능하다면 튜브를 통해 영양을 공급해야 합니다. 콧구멍을 통해 튜브를 넣어 위장에 직접 영양을 공급합니다. 입으로 음식물을 삼키는 능력을 회복하면 튜브를 제거할 수 있습니다.
3. 합병증 예방뇌졸중으로 인한 증상이 심각할 경우에는 다음의 치료가 필요합니다.
1. 움직이고 걷는 문제환자가 입원하자마자 움직일 수 있는 능력에 대해 검사를 받게 됩니다. 환자가 받는 치료는 뇌졸중으로 인하여 거동하는 능력이 얼마나 손실되었는지 그리고 뇌졸중에 걸리기 전에는 어느 정도의 활동이 가능했는지를 감안하여 결정합니다. 대부분의 환자는 빠른 시간 내에 침대에서 일어나 앉는 것이 가능해지고 결국은 걸을 수 있게 됩니다.
2. 의사소통의 문제의사과 언어치료사는 뇌졸중이 말하기, 듣기, 쓰기 등에 미치는 영향을 평가하여 다음의 도움을 줄 수가 있습니다.
3. 대소변을 가리는 문제뇌졸중 환자가 대소변을 가리지 못 하는 것은 흔한 일입니다. 본인이 소변을 보고 싶지 않을 때에 소변을 참지 못 하는 것을 요찔끔증 또는 요실금(尿失禁)이라고 부릅니다. 본인이 대변을 보고 싶지 않을 때에 대변을 참지 못 하는 것을 대변찔끔증 또는 대변실금(大便失禁)이라고 부릅니다. 대부분의 환자는 몇 주안에 대소변을 가릴 수 있게 됩니다.
4. 감각뇌졸중에 걸린 후에는 여러 가지 방식으로 감각에 이상이 옵니다. 뇌졸중의 다른 증상들과 마찬가지로 이 또한 저절로 좋아질 수도 있습니다.
치매의 진단 과정: 선별검사? 진단검사? 원인검사?
치매 선별검사란?
서울신경심리검사 2판 (Seoul Neuropsychological Screening Battery-Ⅱ, SNSB-Ⅱ) 검사
노인 특성반영 인지기능검사(Literacy Independent Cognitive Assessment, LICA)